Cabinet des Docteurs Xavier KORBENDAU &
Isabelle FUMERY-KORBENDAU
Chirurgien Dentiste à Evreux (27)
Cabinet des Docteurs Xavier KORBENDAU &
Isabelle FUMERY-KORBENDAU

27 rue Charles Corbeau 27000 EVREUX           +33 2 32 31 00 83

Chirurgien Dentiste à Evreux (27)

Blog - Page 3

NobelGuide - Evreux - 27

NobelGuide est un système à la fois puissant et polyvalent, dont l'utilisation est aussi facile qu'intuitive. Avec NobelGuide, toutes les décisions importantes peuvent être considérées avant toute intervention chirurgicale.

Appareil de mesure de l’ostéointégration : L’Osstell - Evreux - 27

L’Osstell ISQ est un instrument portable à main qui est utilisé avec une technique non invasive, pour mesurer la stabilité d’un implant dentaire dans la cavité buccale, après la pose de l’implant et tout au long de la cicatrisation de l’os autour de l’implant,(ostéointégration).

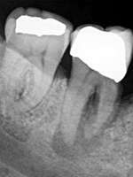
Les couronnes

Les couronnes prothétiques permettent de reconstruire des dents très délabrées, qu’elles soient dévitalisées ou non. Ce sont des coiffes qui viennent sertir le moignon de dent restante pour le consolider et pour rétablir la forme et les fonctions des dents. Pour les dents dévitalisées, la couronne doit être ancrée dans la racine par un tenon (ou pivot ou inlay-core). Ce tenon peut parfois être solidaire de la couronne prothétique, mais il est le plus souvent indépendant.

Le détartrage

Avec le temps, les dents perdent de leur éclat. Outre le tartre, de nombreux facteurs externes viennent ternir la couleur d'une dentition : consommation régulière de thé, de café, de cigarettes…

Le Cone Beam

Le Cone Beam (ou tomographie volumique à faisceaux coniques) est une nouvelle technique d'imagerie radiographique en plein développement.

Traitement des maladies parodontales

Traitement des maladies parodontales

Affichage des articles 13-18 sur 199

Création par Webdentiste

Connexion